- Главные события Недели рекламы: Чем запомнился девятый НРФ
- PRODIGITAL возвращается в Москву с программой для специалистов digital-рынка
- «ИКАР» начал производство деталей для пассажирских самолетов
- Новые модели Polestar Arctic Circle дебютируют на ледовых гонках в Австрии
- Компания "Алмаз-Антей" выпустил линейку гражданских грузовиков на базе военных машин
- «Соллерс» запускает производство дизельных двигателей в Татарстане
- На территории Курганской области появилось новое высокотехнологичное производство
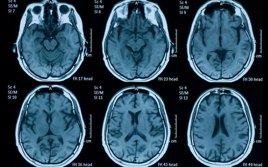
- Российские ученые разработали ИИ-модель, которая оценивает риски осложнений после инфаркта
- Атомный ледокол "Якутия" вышел в Финский залив на испытания
- В Челябинской области запустили новый цех по выпуску полуприцепов
- В Ростовской области открыли новое производство БАДов
- Нейробиологи совершили несколько прорывов в методах воздействия на мозг
- В Сколтехе разработали новую технологию мониторинга целостности конструкции
- Московский транспорт получил несколько наград XI Нацпремии "Формула движения"
- «Газпром нефть» запустила новый топливный терминал в Сибири
- Производитель «умных» колец Oura приобрел компанию по распознаванию жестов
- Qutwo запускает программную среду для интеграции классических и квантовых систем
- Европейская платформа Alan меняет формат медицинского страхования
- Стартап Niv AI представил технологию для ускорения GPU при работе с ИИ
- Роботакси Zoox могут появиться в приложении Uber в Лас-Вегасе
- Учёные переняли механизм охлаждения млекопитающих для защиты аккумуляторов
- Основатель Mandiant создал стартап для защиты от AI-угроз
- Uber и Motional запустили в Лас‑Вегасе коммерческое роботакси
- Новые AR-очки Vizo Z1 Pro весят всего 63 грамма и поддерживают SteamVR
- Lucid Motors показала концепт автономного такси Lunar без руля и педалей
- Ученые разработали систему EyeDAR для радаров беспилотных автомобилей
- Стартап Aikido предложил размещать дата-центры в морских ветряных турбинах
- Учёные создали электрический нагреватель из волокон углеродных нанотрубок
- Бывший CEO Uber назвал Waymo лидером в разработке роботакси в США
- Bumble запускает AI‑ассистента Bee для помощи в профилях и подборе партнёров
- Новая технология Paradromics позволит людям с параличом говорить мысленно
- Учёные ускорили обучение с помощью неинвазивной ультразвуковой стимуляции
- Илон Маск сообщил о первом успешном имплантате чипа Neuralink для человека
- Учёные MIT создали платформу Circulatronics для лечения мозга без операций
- Учёные создали нейроимплант neuro‑key для восстановления чувств
- Учёные создали технологию «субтитры для разума» для перевода мыслей в текст
- Новый ИИ восстанавливает работу мелких мышц без контакта с кожей
- Мысли о словах впервые удалось перевести в текст с высокой точностью
- Исследователи тестируют светочувствительные белки для точной нейромодуляции
- Нейротехнологии проникают в носимые устройства для повседневного использования
- Учёные создали синтетический материал для точного моделирования нейронов
- Китайский стартап BrainCo подал заявку на IPO в Гонконге
- Учёные научились усиливать щедрость людей с помощью мозговой стимуляции
- Новая методика стимуляции мозга помогает больным видеть лучше после инсульта
- Алгоритм Neurotechnology показал лучшую точность в оценке NIST
- Жители и гости Москвы могут посетить первый в РФ офлайн-хакатон по ИИ-рекламе
- Google запускает ИИ‑помощника Gemini в браузере Chrome за пределами США
- AI-стартапы увеличивают доходы, однако сталкиваются с оттоком пользователей
- На фоне падения продаж Маск анонсировал планы по разработке AGI в Tesla
- OpenAI представила GPT-5.4 с версиями для глубокого анализа и корпоративных задач
- OpenAI усиливает позиции в финансовых сервисах с релизом GPT-5.4
- В США восстановили один из первых фильмов о роботе 1897 года
- Издатели Britannica и Merriam-Webster обвинили OpenAI в нарушении авторских прав
- Миниатюрный подводный робот собирает нефть с поверхности воды
- BMW начала тестировать гуманоидных роботов на заводе в Лейпциге
- Развитие гуманоидных роботов ускорилось благодаря новым ИИ-чипам
- Сервис Gamma внедрил генерацию изображений на базе искусственного интеллекта
- Учёные научили роботов находить предметы по жестам человека
- Инженеры создали робота с мягким плавником для стабильного движения под водой
- Компания из тюремного сектора строит деревни для рабочих на стройках дата-центров
- Anthropic запускает маркетплейс AI-приложений по модели Amazon
- BYD представила электрический Denza Z9 GT с запасом хода более 1000 км
- Xiaomi показала электрический гиперкар Vision Gran Turismo мощностью почти 1900 л.с.
- BMW представила электрический кроссовер iX3 нового поколения
- Hyundai представила робота-пожарного для работы в самых опасных условиях
- Porsche готовит полностью электрическую версию седана Panamera
- General Motors представила обновленный электромобиль Chevrolet Bolt
- BYD рассматривает вариант выхода в Формулу-1
- Caterpillar выпустила самый мощный электрический бульдозер на основе старой технологии
- Netflix купил AI-стартап Бена Аффлека для развития кинопроизводства
- BYD выходит на европейский рынок с электромобилем Denza Z9 GT
- BMW готовит электрический кроссовер iX4 к выпуску в 2027 году
- Rivian представил среднеразмерный электрический SUV R2 с мощностью 656 л.с.
- MG готовит электрический SUV с полу-твердотельной батареей
- Harbinger представил новый рабочий электропикап
Одно сканирование МРТ способно диагностировать болезнь Альцгеймера